पूर्वी दूरदर्शनवर एक जाहिरात लागायची. त्यात एकापुढे एक सिगारेट्स रचून त्यापासून तिरडी तयार झालेली दाखवत. त्यापुढचं घोषवाक्यही तितकंच प्रभावी होतं. ते शब्द होते- 'मृत्यू, सुलभ हप्त्याने'. या जाहिरातीने किती लोकांना शहाणं केलं याचा अधिकृत आकडा उपलब्ध नसला, तरी ते दृश्यआणि शब्द फारच परिणामकारक होते.
धूम्रपानाचे परिणाम : बेफिकिरीने स्मोकिंग करणार्यांसाठी हा लेख खास


सिगारेट ही केवळ पुरुषांची मक्तेदारी राहिलेली नाही. आजकाल स्त्रिया आणि तरुण मुलीही अगदी ऐटीत 'दम' मारताना दिसतात. सिगारेट वाईट आहे हे कानीकपाळी कितीही ओरडून सांगितलं जात असलं तरी त्याची पर्वा न करता बेफिकिरीने स्मोकिंग करणारा मोठा वर्ग आहे. हा लेख खास अशा लोकांसाठी. हे वाचल्यावर सिगारेटचे परिणाम किती दूरगामी आहेत आणि शरीरातल्या एकाही अवयवाची यापासून कशी सुटका नाही हे लक्षात येईल.

सर्वप्रथम हे लक्षात घ्या, की धूम्रपान हा म्हातारपणाकडे नेणारा एक खात्रीशीर मार्ग आहे. धूम्रपान त्वचा, दात आणि केसांमध्ये अशा प्रकारे बदल घडवून आणतं, या सगळ्या कारणांमुळे व्यक्ती आहे त्याहून जास्त वयस्कर दिसते. आपल्या प्रजननक्षमतेपासून हृदय, फुफ्फुसं आणि हाडांच्या सामर्थ्यावर याचा परिणाम होतो. विविध अवयवांवर धूम्रपानाचा पुढीलप्रमाणे परिणाम होतो.

खराब त्वचा
धूम्रपान करणाऱ्यांना ओळखण्याची एक खूण म्हणजे डोळ्यांखालील सैल त्वचा. पण याखेरीज धूम्रपानामुळे त्वचेची सर्वच बाजूंनी हानी होते. दीर्घकाळ धूम्रपान त्वचेला ऑक्सिजन आणि पोषक घटकांपासून वंचित ठेवतं. त्यामुळे धूम्रपान करणारे लोक अनेकदा फिकट दिसतात, तर काहींच्या त्वचेमध्ये मेलॅनिन या रंगद्र्व्याची निर्मिती असमान झाल्याने त्वचेचा रंग असमान होतो.

लोंबकळणारी त्वचा
तंबाखूच्या धुरामध्ये ४ हजारहून अधिक रसायनं असतात आणि त्यापैकी बरीच त्वचेतल्या कोलॅजिन आणि इलॅस्टिनचा नाश करतात. कोलॅजिन आणि इलॅस्टिचे तंतू त्वचेला घट्टपणा आणि लवचिकता देतात. त्यांचा नाश झाल्याने त्वचा सुरकुतते आणि लोंबकळल्यासारखी दिसते.
धूम्रपान केल्याने केवळ चेहऱ्याच्या त्वचेतच बदल होत नाही, तर एकंदर शरीराच्या ठेवणीवरही परिणाम होऊ शकतो. जसजशी त्वचा लवचिकता गमावते, तसतसे एकेकाळी घट्ट असलेले भाग सैल पडू लागतात. यामुळे काख, स्तन येथील त्वचाही सुरकुतते आणि सैल पडते.

सोरायसिस
सोरायसिस हा एक जुनाट आजार आहे. यामध्ये बहुतेकदा त्वचेवर जाडसर खवले निर्माण होतात. सामान्यतः गुडघे, कोपर, टाळू, हात, पाय किंवा पाठीवर या आजाराचा प्रादुर्भाव जास्त दिसतो. सोरायसिसचे पॅचेस पांढरे, लाल किंवा रुपेरी असू शकतात. अलीकडील अभ्यासानुसार, धूम्रपान करणाऱ्यांना सोरायसिस होण्याचा धोका जास्त असतो.

वांग
वांग हे सामान्यत: चेहऱ्याच्या आणि हाताच्या त्वचेवर दिसणारे गडद रंगाचे डाग असतात. अनेकदा हे डाग त्वचा सूर्यप्रकाशाच्या संपर्कात जास्त वेळ आल्याने निर्माण होतात. धूम्रपान करणाऱ्यांच्या त्वचेवर धुम्रपानामुळेही वांग येऊ शकतात.

डागाळलेली बोटं
कितीही स्टाईलमध्ये कश मारला तरी धूम्रपान करणाऱ्यांचे हात, विशेषतः बोटं, सुंदर किंवा स्टाईलिश दिसत नाहीत. याचं कारण सिगारेटमधली तंबाखू हाताची त्वचा आणि नखं यांच्यावर डाग निर्माण करू शकते. धूम्रपान सोडल्यावर हे डाग कमी होतात

ओठांभोवती रेषा
धूम्रपान करताना ओठांभोवतीच्या विशिष्ट स्नायूंचा वापर केला जातो. यामुळे येथील भागाची लवचिकता कमी होते. त्यामुळे ओठांभोवती सुरकुत्यांच्या रेषा निर्माण होतात.

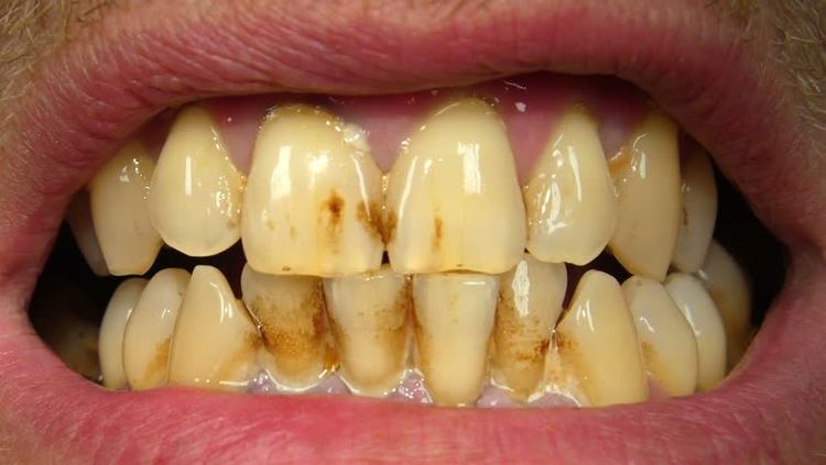
खराब दात आणि हिरड्या
पिवळे दात हा दीर्घकालीन धूम्रपानाचा परिणाम आहे, परंतु दातांचं नुकसान इथेच थांबत नाही. जे लोक धूम्रपान करतात त्यांना हिरड्याचे आजार, तोंडाला दुर्गंधी आणि मौखिक आरोग्याच्या इतर समस्या निर्माण होतात.

केसगळती
पुरुष आणि स्त्रिया दोघांच्याही बाबतीत वय वाढतं तसतसे केस पातळ होत जातात. धूम्रपान केल्याने ही प्रक्रिया जास्त वेगाने होते. एका अभ्यासात सुचवल्याप्रमाणे, जे लोक धूम्रपान करतात त्यांना टक्कल पडण्याची शक्यता जास्त असते. आशियाई पुरुषांमध्ये तर धूम्रपान हा टक्कल पडण्यामागचा स्पष्ट घटक मानला जातो.

मोतीबिंदू
तंबाखूचा डोळ्यांवरही परिणाम होतो. धूम्रपान केल्याने वयानुसार मोतीबिंदू होण्याची शक्यता वाढते. मोतीबिंदूमुळे स्पष्ट दिसत नाही. अशा लोकांना दृष्टीची गंभीर समस्या उद्भवली तर त्यांच्यावर शस्त्रक्रियेद्वारे उपचार केले जातात.

क्रो फीट रिंकल्स
अनेक लोकांना डोळ्यांच्या कोपऱ्याजवळ सुरकुत्या पडतात. या वाढत्या वयाबरोबर येतात आणि त्यांचा आकार कावळ्याच्या पायाच्या बोटांप्रमाणे दिसत असल्याने त्यांना क्रो फीट रिंकल्स म्हणतात. वयाबरोबर या सुरकुत्या येणं सामान्य असलं तरी जे लोक धूम्रपान करतात त्यांच्या बाबतीत या सुरकुत्या लवकर विकसित होतात आणि जास्त ठळक आणि खोल असतात. तंबाखूतल्या रसायनांमुळे डोळ्यांभोवतीच्या त्वचेच्या रक्तवाहिन्यांची हानी होते. शिवाय सिगारेटच्या धुरातली उष्णता आणि सिगारेट ओढताना धूर डोळ्यात जाऊ नये म्हणून डोळे बारीक करण्याने या सुरकुत्यांचं प्रमाण वाढतं.

कमकुवत हाडं
धूम्रपानामुळे हाडं कमकुवत आणि ठिसूळ होऊन ऑस्टियोपोरोसिस होण्याचा धोका वाढतो. परिणामी हाडांच्या फ्रॅक्चरचा धोकाही वाढतो.

हृदयविकार
हृदयासह शरीरातील जवळजवळ प्रत्येक अवयवावर धूम्रपान परिणाम करतं. धूम्रपानामुळे रक्तवाहिन्या कालांतराने अरुंद होतात. त्यामुळे हृदयापर्यंत रक्त वाहून नेणाऱ्या वाहिन्यांमधून हृदयाला पुरेसा रक्तपुरवठा होत नाही. धूम्रपानामुळे रक्तदाबही वाढतो आणि रक्ताची गुठळी होण्याची शक्यता वाढते. हे घटक हृदयविकाराचा झटका येण्याची शक्यता वाढवतात.

शारीरिक क्षमतेत घट
हृदय आणि फुफ्फुसांवर धूम्रपानाचा प्रभाव पडल्याने अशा व्यक्तीला व्यायाम करताना अडचणी येतात. धूम्रपान करणाऱ्यांमध्ये हार्ट रेट (हृदयाच्या ठोक्यांची गती) जास्त असतो, आणि त्यांना लवकर धाप लागते.

प्रजननक्षमतेत घट
धूम्रपानामुळे प्रजननक्षमतेत घट होऊन गर्भ राहण्यात अडचणी येतात. सिगारेटचा प्रजननविषयक समस्यांशी जवळचा संबंध आहे. प्रेग्नन्सीदरम्यान धूम्रपान केल्याने गर्भपात, अकाली प्रसूती किंवा जन्मतः कमी वजनाचं बाळ या समस्या उद्भवतात.

अकाली मेनोपॉज
वाढत्या वयानुसार हॉर्मोन्सच्या पातळीत घट होऊन मासिक पाळी थांबणं म्हणजे मेनोपॉज. बहुतेक महिलांची ही अवस्था वयाच्या पन्नाशीत येते. पण धूम्रपान केल्याने मेनोपॉजचं वय अलीकडे येऊ शकतं.

तोंडाचा कर्करोग
धूम्रपानाचा सर्वात घातक परिणाम म्हणजे तोंडाचा कर्करोग. धूम्रपानाच्या जोडीला मद्यपान करत असाल तर हा ऍडिशनल बोनस आहे! दोन्ही करणाऱ्यांच्या बाबतीत कॅन्सरचा धोका १५ पटीने वाढतो. याचं लक्षण म्हणजे तोंडाच्या आतल्या बाजूला व्रण येणं आणि तो दीर्घकाळ बरा न होणं.

फुफ्फुसविकार
धूम्रपानामुळे फुफ्फुसं खराब होतात, तसंच त्यामुळे न्यूमोनिया आणि फुफ्फुसांचा कर्करोग होण्याची शक्यता वाढते.

हे दुष्परिणाम कसे टाळता येतील? किंवा यावर उपाय काय?
तर उपाय एकच - सिगारेट सोडणं.
धूम्रपान करायचं सोडलं की त्याचे परिणाम काही दिवसातच दिसायला लागतात. त्वचेचा रंग आणि पोत सुधारतो, बोटांवरचे आणि नखांवरचे डाग नाहीसे होतात, दातही पांढरे होऊ लागतात. याशिवाय त्वचेवरचा सुरकुत्या आणि वांगावरही बाजारात अनेक चांगली क्रीम्स आलेली आहेत. व्हिटॅमिन सी आणि ई, सनस्क्रीन यांच्या वापराने त्वचेवर चांगला परिणाम दिसून येतो. शिवाय त्वचारोगतज्ज्ञांकडे जाऊन लेझरच्या मदतीने त्वचा पुनरुज्जीवित करता येते, केमिकल पील हाही एक पर्याय आहे.

सिगारेट सोडल्यावर,
२० मिनिटांत : रक्तदाब आणि हार्ट रेट सामान्य होतात.
२४ तासांत : हार्ट अटॅकचा धोका कमी होऊ लागतो.
०१ आठवड्यात : फुफ्फुसांमधले अपायकारक घटक बाहेर झटकून टाकणाऱ्या सिलिया कार्यक्षम होतात.
०१ वर्षाने : धूम्रपान करणाऱ्यांच्या तुलनेत तुम्हाला हार्ट अटॅक येण्याचा धोका निम्म्याने कमी होतो.
१० वर्षांनी : फुफ्फुसांच्या कर्करोगाने मृत्यू होण्याची शक्यता नष्ट होते.
फक्त धूम्रपान पूर्णपणे बंद करायला हवं. तेवढा मनोनिग्रह हवा. नाहीतर आहेच - मृत्यू, सुलभ हप्त्याने!
टॅग्स:
संबंधित लेख

जेव्हा अनिल कुंबळेने इंग्लिश गोलंदाजांना रडवत इंग्लंडमध्येच झळकावले होते शतक!! वाचा तो किस्सा..
११ ऑगस्ट, २०२२
लिस्टिकलवेळप्रसंगी जीव वाचवणारा सीपीआर नक्की काय असतो? तो द्यायचं तंत्र जाणून घ्या..
९ जून, २०२२
लिस्टिकलतुम्ही कसे झोपता? त्यावरून मानसशास्त्रज्ञ तुमच्या व्यक्तिमत्वाबद्दल काय निष्कर्ष काढतात ते ही वाचा...
७ जून, २०२२
लिस्टिकलएलॉन मस्क ते जेफ बेझोस... जगप्रसिद्ध मंडळी काय खातात?
६ जून, २०२२